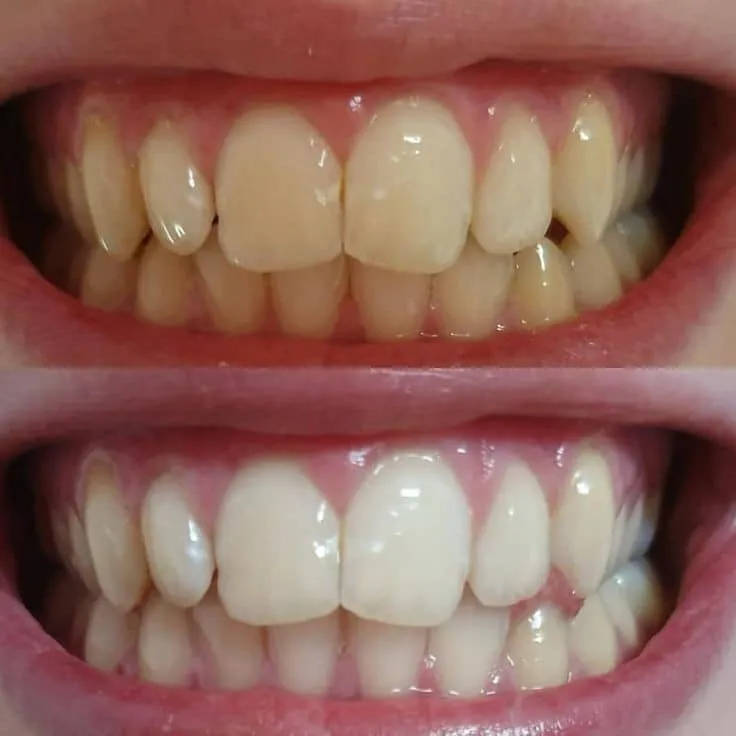
سفید بودن دندانها یکی از مهمترین فاکتورهای زیبایی لبخند و افزایش اعتمادبهنفس است. امروزه بسیاری از افراد بهدنبال روشهایی برای سفید کردن دندان در خانه هستند؛ روشهایی که هم کمهزینه باشند، هم درد نداشته باشند و هم بدون آسیب به مینای دندان، نتیجه قابلقبولی ایجاد کنند.
اما سؤال اصلی اینجاست:
آیا سفید کردن دندان در منزل واقعاً اثرگذاری دارد؟
کدام روشها بیخطرند و کدام روشها میتوانند به دندان آسیب بزنند؟
در این مقاله جامع، بهصورت کاملاً علمی و کاربردی، بهترین و ایمنترین روشهای سفید کردن دندان در خانه را بررسی میکنیم، مزایا و معایب هر روش را توضیح میدهیم و در نهایت به شما کمک میکنیم بهترین تصمیم را برای سلامت و زیبایی دندانهایتان بگیرید.

سفید شدن دندانها چرا اهمیت دارد؟
رنگ طبیعی دندانها ممکن است بهمرور زمان و به دلایل مختلف تغییر کند. زردی یا تیرگی دندانها نهتنها زیبایی لبخند را کاهش میدهد، بلکه در بسیاری از افراد باعث کاهش اعتمادبهنفس در ارتباطات اجتماعی و کاری میشود.
دلایل اهمیت سفید بودن دندانها:
- افزایش جذابیت چهره
- جوانتر دیده شدن
- اعتمادبهنفس بالاتر
- تأثیر مثبت در روابط اجتماعی
- احساس بهتر نسبت به ظاهر شخصی
به همین دلیل، تقاضا برای سفید کردن دندان در خانه در سالهای اخیر بهطور چشمگیری افزایش یافته است.
علت زرد شدن و تغییر رنگ دندانها چیست؟
قبل از بررسی روشهای سفید کردن دندان در خانه، باید بدانیم چرا دندانها تغییر رنگ میدهند:
- مصرف مواد غذایی رنگزا
- چای پررنگ
- قهوه
- نوشابه
- شراب قرمز
- سسها و ادویههای تیره
- سیگار و قلیان
نیکوتین و قطران بهشدت باعث زردی و تیرگی دندانها میشوند.
- افزایش سن
با افزایش سن، مینای دندان نازکتر شده و رنگ عاج دندان بیشتر نمایان میشود.
- رعایت نکردن بهداشت دهان و دندان
مسواک نزدن منظم و عدم استفاده از نخ دندان باعث تجمع پلاک و تغییر رنگ دندانها میشود.
- مصرف برخی داروها
مانند تتراسایکلین یا برخی داروهای دوران کودکی.
آیا روشهای خانگی سفید کردن دندان واقعاً کارآمد هستند؟
پاسخ کوتاه: بله، اما به شرط انتخاب روش درست و ایمن.
سفید کردن دندان در خانه میتواند:
- لکههای سطحی را کاهش دهد
- رنگ دندانها را چند درجه روشنتر کند
- ظاهر لبخند را بهبود ببخشد
اما:
- جایگزین بلیچینگ حرفهای در مطب نیست
- برای تغییر رنگهای شدید یا داخلی کافی نیست
- در صورت استفاده نادرست میتواند به مینای دندان آسیب بزند

بهترین روشهای سفید کردن دندان در خانه
-
استفاده از خمیر دندانهای سفیدکننده
یکی از سادهترین و ایمنترین روشهای سفید کردن دندان در خانه استفاده از خمیر دندانهای مخصوص سفیدکننده است.
مزایا:
- در دسترس
- مقرونبهصرفه
- مناسب استفاده روزانه
- کمک به حذف لکههای سطحی
معایب:
- تأثیر محدود
- نیاز به استفاده مداوم
نکته مهم: استفاده بیشازحد از خمیر دندانهای ساینده میتواند باعث حساسیت دندان شود.
-
نوارهای سفیدکننده دندان (Whitening Strips)
این نوارها حاوی مواد سفیدکننده ملایم مانند پراکسید هستند و روی دندان قرار میگیرند.
مزایا:
- تأثیر قابلقبول
- استفاده آسان
- مناسب استفاده خانگی
معایب:
- امکان ایجاد حساسیت
- سفید شدن نامتوازن در برخی افراد
-
ژلها و قلمهای سفیدکننده دندان
این محصولات مستقیماً روی سطح دندان استفاده میشوند و برای سفید کردن لکههای سطحی مؤثرند.
مزایا:
- استفاده هدفمند
- قابلحمل
- اثرگذاری سریعتر نسبت به خمیر دندان
معایب:
- تأثیر موقت
- نیاز به تکرار
-
روشهای خانگی سنتی (با احتیاط)
برخی روشهای خانگی بسیار رایجاند، اما همه آنها ایمن نیستند.
▪️ جوش شیرین
میتواند لکههای سطحی را کاهش دهد، اما استفاده مکرر باعث سایش مینای دندان میشود.
▪️ آبلیمو یا سرکه
بهشدت مضر
اسیدی بودن این مواد باعث تخریب مینای دندان میشود و به هیچ عنوان توصیه نمیشود.
▪️ زغال فعال
در برخی موارد مفید است، اما استفاده مداوم آن میتواند به مینای دندان آسیب بزند.
نتیجه: اگر به سلامت دندانهایتان اهمیت میدهید، این روشها را فقط با نظر دندانپزشک استفاده کنید.

چه کسانی نباید سفید کردن دندان در خانه انجام دهند؟
- افرادی با دندانهای بسیار حساس
- کسانی که پوسیدگی فعال یا بیماری لثه دارند
- زنان باردار (بدون مشورت دندانپزشک)
- افرادی با روکش، لمینت یا کامپوزیت (این مواد سفید نمیشوند)
چگونه نتیجه سفید کردن دندان در خانه را ماندگار کنیم؟
برای افزایش ماندگاری نتیجه سفید کردن دندان در خانه:
- مصرف چای و قهوه را محدود کنید
- بعد از مصرف مواد رنگزا دهان را با آب بشویید
- سیگار را ترک کنید
- مسواک و نخ دندان را جدی بگیرید
- هر ۶ ماه جرمگیری انجام دهید
مقایسه سفید کردن دندان در خانه با روشهای حرفهای
|
روش |
میزان اثر | ماندگاری |
ایمنی |
|
سفید کردن دندان در خانه |
متوسط | کوتاه تا متوسط |
بالا (در صورت صحیح) |
|
بلیچینگ در مطب |
بسیار زیاد | طولانی |
بسیار بالا |
|
لمینت یا کامپوزیت |
دائمی | طولانی |
بالا |
نتیجهگیری نهایی
سفید کردن دندان در خانه یک روش مناسب، کمهزینه و غیرتهاجمی برای افرادی است که:
- زردی خفیف تا متوسط دارند
- بهدنبال بهبود ظاهر لبخند هستند
- نمیخواهند فعلاً درمانهای حرفهای انجام دهند
اما اگر بهدنبال نتیجه سریع، ماندگار و حرفهای هستید، روشهای کلینیکی تحت نظر دندانپزشک بهترین انتخاب هستند.
اگر:
از زردی دندانها خسته شدهاید
نمیدانید سفید کردن دندان در خانه برای شما مناسب است یا نه
یا بهدنبال بلیچینگ حرفهای و ایمن هستید
کلینیک دندانپزشکی رازان با جدیدترین روشهای سفید کردن دندان آماده ارائه مشاوره تخصصی به شماست.
همین حالا نوبت مشاوره بگیرید و لبخندی سفید، سالم و ماندگار را تجربه کنید.
سؤالات متداول (FAQ) درباره سفید کردن دندان در خانه
- آیا سفید کردن دندان در خانه به مینای دندان آسیب میزند؟
اگر از روشهای استاندارد و تأییدشده استفاده شود، خیر. - چقدر طول میکشد تا نتیجه را ببینیم؟
بین ۱ تا ۴ هفته بسته به روش انتخابی. - آیا دندانهای ترمیمشده سفید میشوند؟
خیر، روکش، لمینت و کامپوزیت تغییر رنگ نمیدهند. - آیا سفید کردن دندان دائمی است؟
خیر، اما با مراقبت صحیح ماندگاری آن افزایش مییابد.

